烟台论坛-烟台社区

 找回密码
 点这里注册
烟台论坛-烟台社区-【急诊故事】都是假牙惹的祸 毓璜顶医院10天救治两例误吞整排假牙患者 - 便民信息 -

烟台论坛-烟台社区

 找回密码
 点这里注册

QQ登录

只需一步,快速开始

扫一扫,访问移动社区

【急诊故事】都是假牙惹的祸 毓璜顶医院10天救治两例误吞整排假牙患者

查看数: 3214 | 评论数: 0 | 收藏 0
关灯 | 提示:支持键盘翻页<-左 右->
    组图打开中,请稍候......
发布时间: 2024-11-28 11:23

正文摘要:

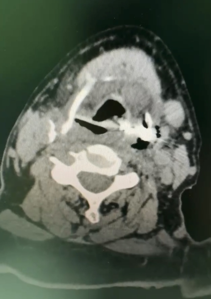
  “医生,我父亲连续两天喉咙疼,而且吃不下东西,呼吸也不太好,到底是怎么回事?”近日,烟台毓璜顶医院耳鼻喉头颈外科主治医师吕亚运接诊了一位高龄患者。“这位83岁的患者曾在外院做了胸部CT和颅 ...

回复

社区地图 | 删帖帮助 | 手机版

烟台论坛-烟台社区 鲁ICP备05034347号 鲁公网安备 37060202000105号

免责声明:本网页提供的文字图片及视频等信息都由网友产生,本网站仅提供存储服务,如有侵犯您的知识产权,请及时与我们联系,我们将第一时间处理。

快速回复 返回顶部 返回列表