买了个山地车,儿子骑了三天,原地摔倒

![]()
![]()
![]()
想抽自己一顿



三界不留 发表于 2025-6-19 20:17
不心疼孩子,倒是先心疼“两个月白干”


别亦难 发表于 2025-6-19 20:23
钢针固定,外面打石膏。住院一周多,回家养着。
我儿子胳膊摔断就是这么个流程。



纪念逝去 发表于 2025-6-19 20:27
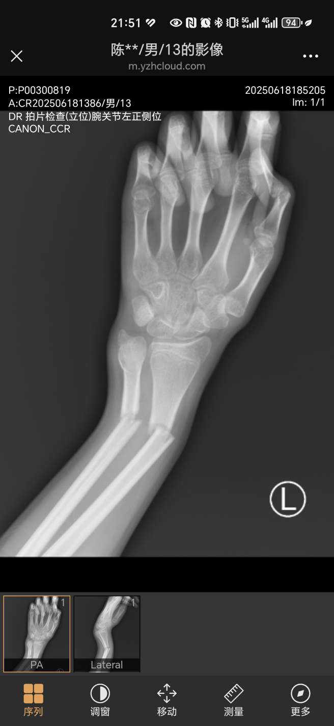
是的,刚才跟我说了,他这个要从手腕那个位置打一根钢钉,一直到肘部,再从肘部打一个钢钉直到手腕。[em1 ...
鸣谦 发表于 2025-6-19 20:31
刚给给孩子买了个儿童车,看来得好好嘱咐嘱咐他慢慢儿骑了
余笙 发表于 2025-6-19 20:28
安全是重中之重,无论何时何地
发财哥 发表于 2025-6-19 20:32
我也断过,打篮球撞断了尺骨
纪念逝去 发表于 2025-6-19 20:32
他就是骑的特别特别慢的那种。

纪念逝去 发表于 2025-6-19 20:33
唉,是呀,真的是意外,慢慢骑,他新手,撞路灯杆摔倒了,手腕撑地,就这样了
遁甲天书 发表于 2025-6-19 20:41
妈呀,这疼死了
好吃的不是拉面 发表于 2025-6-19 20:42
唉,早日康复。

纪念逝去 发表于 2025-6-19 20:45
谢谢他拉面叔,昨天还在想着什么时候能学会自行车呢。

余笙 发表于 2025-6-19 20:41
意外来临就是一刹那。好好养着吧,心疼孩子
遁甲天书 发表于 2025-6-19 20:46
这得好好养,孩子骨头愈合能力强。这开学写字咋整,不行就办理休学吧。
纪念逝去 发表于 2025-6-19 20:46
谢谢他余老师
纪念逝去 发表于 2025-6-19 20:48
唉,此时此刻,某个病房里有一个小朋友哭得撕心裂肺的。
余笙 发表于 2025-6-19 20:49
这在烟台山啊
行云何处去 发表于 2025-6-19 20:47
头盔护膝都得戴好
纪念逝去 发表于 2025-6-19 20:53
嗯,东院儿童骨科
余笙 发表于 2025-6-19 20:56
去年夏天我爸爸卫生间摔倒挫伤,我吓得哭了一路也是在烟台山东院,去了之后我除了颤抖什么也不会,还要医 ...
行云何处去 发表于 2025-6-19 20:47
头盔护膝都得戴好
行云何处去 发表于 2025-6-19 20:47
头盔护膝都得戴好
纪念逝去 发表于 2025-6-19 20:59
我儿子很冷静,我挺佩服他的。
纪念逝去 发表于 2025-6-19 20:53
嗯,东院儿童骨科
王德双 发表于 2025-6-19 21:42
没买个意外险吗
纪念逝去 发表于 2025-6-19 20:27
是的,刚才跟我说了,他这个要从手腕那个位置打一根钢钉,一直到肘部,再从肘部打一个钢钉直到手腕。[em1 ...
听着就疼。。。。。。


纪念逝去 发表于 2025-6-20 07:10
都有的。医保和意外。
幸福的鸟 发表于 2025-6-20 01:16
手术完,外固定支具……我给你儿子打个支具可以
爱╭⌒行天下 发表于 2025-6-20 11:20
这么严重,看着就心疼。我儿子在学校被他同学碰到,尺骨裂了一点缝,石膏固定了一下。30天好了。
tompda 发表于 2025-6-20 10:50
现在的孩子不如我们小时候那么泼实,以前怎么摔打都没事。
| 欢迎光临 烟台论坛-烟台社区 (http://www.ytbbs.com/) | Powered by Discuz! X3.4 |